Als zertifiziertes überregionales Traumazentrum erfüllt das Klinikum Saarbrücken im Rahmen des Traumanetzwerks “Saar-(Lor)-Lux-Westpfalz“ alle Voraussetzungen zur Versorgung von Schwer- und Schwerstverletzen. Das Traumanetzwerk Saar-(Lor)-Lux-Westpfalz der Traumanetzwerkinitiative der Deutschen Gesellschaft für Unfallchirurgie (DGU) wurde im Jahr 2007 gegründet. Ziel ist es, durch die strukturierte Vernetzung von Krankenhäusern der Großregion die bestmögliche Schwerverletztenversorgung zu jedem Zeitpunkt unverzüglich in Schwerpunktkliniken und Traumazentren sicherzustellen.
Im Klinikum Saarbrücken erfolgt die Behandlung von Unfallopfern mit Verletzungen jeder Art an 365 Tagen im Jahr rund um die Uhr in einer interdisziplinären Zusammenarbeit. Dazu zählen die Versorgung von isolierten Verletzungen ebenso wie die Therapie der sogenannter Mehrfachverletzungen (Polytrauma), mit z.B. Schädel-Hirn- und Wirbelsäulenverletzungen. Bereits beim Eintreffen im Schockraum stehen immer Ärzte aus mindestens vier Fachabteilungen bereit, um den Verletzten nach den Kriterien und Empfehlungen der DGU und in genau festgelegten Abläufen innerhalb kürzester Zeit mit Hilfe modernster Diagnostikverfahren zu betreuen und schnellstmöglich die lebenswichtigen Entscheidungen zur Therapieplanung zutreffen.
Dabei übernimmt das Klinikum Saarbrücken die Behandlung von Schwerstverletzten weit über die Grenzen des Saarlandes hinaus. So werden mittels Rettungshubschrauber sowie durch bodengebundene Transporte Patienten in die Zentrale Notaufnahme gebracht und versorgt.
Daneben dient das Klinikum als Basisstation sowohl des ADAC Rettungshubschraubers „Christoph 16“ als auch einem der Notarztwagen von Saarbrücken, welcher von hier aus zu den Notfalleinsätzen startet.
Neben der Versorgung der Schwerstverletzen gehören die operative und die konservative Behandlung und Nachbehandlung von Unfällen aller Art, insbesondere auch von Verkehrsunfällen, Arbeitsunfällen und Schulunfällen, zum weiten Spektrum unserer Klinik. Hierbei stellt die Versorgung von Verletzungen der Hand einen besonderen Schwerpunkt dar.
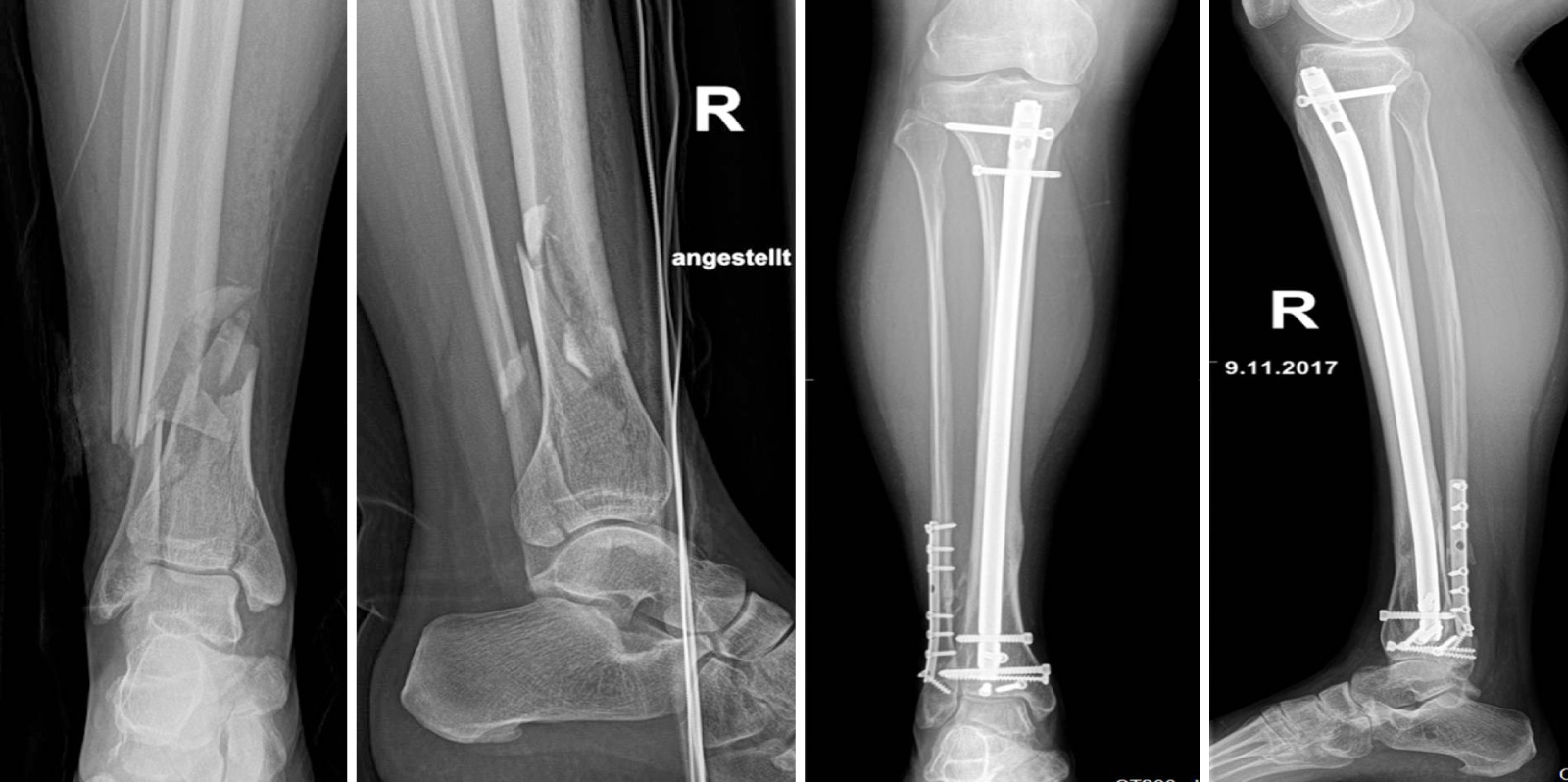
Die operative Behandlung dieser Unfallfolgen erfolgt am Klinikum Saarbrücken in enger Zusammenarbeit mit der Klinik für Anästhesiologie und Intensivmedizin. Erfahrenes und gut ausgebildetes OP-Pflegepersonal und die moderne Ausstattung der Operationssäle erlauben uns die bestmögliche Therapieplanung und -durchführung. Hierzu stehen Verfahren der Notfallversorgung, z. B. mittels Fixateur, externe moderne Osteosynthese-Verfahren, z. B. mittels Plattenosteosynthese oder Nagelosteosynthese sowie minimalinvasive Methoden zur Verfügung.

Alle unfallchirurgischen Verfahren der Notfallversorgung stehen zur Verfügung - z. B. mittels Fixateur externe, als auch moderne definitive Osteosynthese-Verfahren mittels Plattenosteosynthese oder Nagelosteosynthese sowie minimalinvasive Methoden.